The Daily Insight
updates /

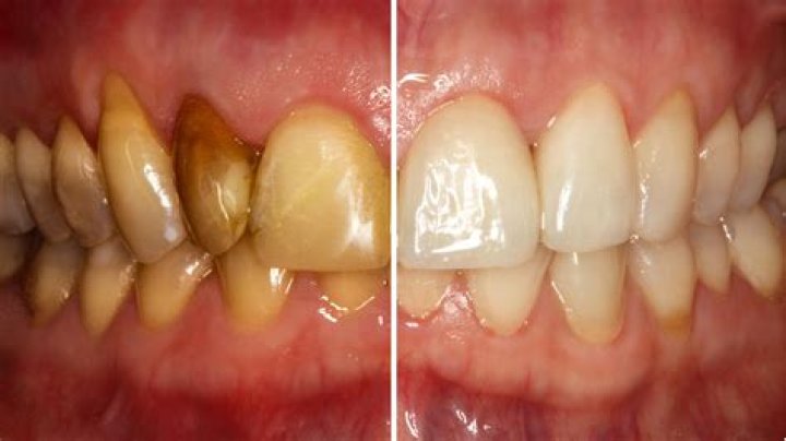
Why is baking soda bad for your teeth?

Baking soda isn't an alternative to toothpaste — Baking soda doesn't contain fluoride, so it can't kill bacteria or help prevent cavities. You should still use a regular toothpaste of some sort to clean your teeth thoroughly. If it's overused, it can cause tooth sensitivity and increase the risk for cavities.

.

Also question is, is it bad to brush your teeth with baking soda?

Use it consciously: Scrubbing your teeth vigorously with baking soda can cause damage to the tooth. It is advisable to brush your teeth with baking soda no more than a few times in a week. And when you do use it to brush your teeth, don't let it sit on your teeth for more than two minutes.

One may also ask, how often can I use baking soda on my teeth? Overuse can damage the enamel of the teeth, resulting in sensitivity and increasing the risk for cavities. Baking soda should be used no more than once a week. Because this method will not clean any stains beneath the top surface of the enamel, it will only whiten the teeth by 1-2 shades.

One may also ask, does baking soda affect tooth enamel?

So baking soda “feels” more abrasive – but it's not. The fact is that Baking Soda, being much softer than tooth enamel, and very slightly softer than even tooth dentin, will not create much damage (abrasion) to the tooth. Baking soda is 7.)

How do you use baking soda on your teeth?

The most basic method is mixing baking soda and water. Using a small cup or bowl, mix a few drops of water with a half a teaspoon of baking soda to craft a paste. Once you have a paste, apply it to your teeth using a toothbrush or your fingers. Leave on for approximately two minutes and rinse with water.

Related Question Answers

Can salt whiten teeth?

Warm salt water Helps both whiten your teeth naturally and looks after your gums (as it is a natural antibacterial). Mix a teaspoon of salt in a cup of warm kettle boiled water (cool it down) and use it as mouthwash. Science - Salt is a natural antibacterial working by attacking bacterial cell walls.

Can baking soda make your teeth yellow?

Brush with baking soda It's a mild abrasive that can help scrub away surface stains on teeth. One study found that toothpastes containing baking soda were significantly more effective at removing yellow stains from teeth than standard toothpastes without baking soda.

How fast does baking soda whiten teeth?

The baking soda can be mixed into a paste by adding water. Once the desired mixture is created, the most effective way to whiten teeth with baking soda is to brush for two minutes, making sure to coat all the teeth with the paste.

How can I whiten my teeth naturally in 3 minutes?

Here are 7 simple ways you can naturally whiten your teeth.
  1. Practice oil pulling.
  2. Brush with baking soda.
  3. Use hydrogen peroxide.
  4. Use apple cider vinegar.
  5. Eat fruits and vegetables.
  6. Prevent tooth stains before they happen.
  7. Don't underestimate the value of brushing and flossing.

What is the safest way to whiten your teeth?

Generally, the methods they use will bleach your teeth with carbamide peroxide. This breaks down to hydrogen peroxide and urea and targets the tooth's color in a chemical reaction. It's considered a safe way to whiten teeth.

How can I naturally whiten my teeth?

Here are 7 simple ways you can naturally whiten your teeth.
  1. Practice oil pulling.
  2. Brush with baking soda.
  3. Use hydrogen peroxide.
  4. Use apple cider vinegar.
  5. Eat fruits and vegetables.
  6. Prevent tooth stains before they happen.
  7. Don't underestimate the value of brushing and flossing.

What is the best toothpaste?

Conclusion
Toothpaste Best for Price
Colgate Optic White Whitening Check the latest price
Sensodyne Complete Protection Sensitive teeth Check the latest price
Plus White Smokers Check the latest price
Parodontax Gums Check the latest price

Can you add baking soda to toothpaste?

Mix a teaspoon of baking soda and a half teaspoon of hydrogen peroxide until the mixture turns into a toothpaste-like consistency. Use the mixture to brush your teeth. Let it sit for a minute or two before rinsing it off with water.

Do dentists recommend baking soda?

Baking soda isn't an alternative to toothpaste — Baking soda doesn't contain fluoride, so it can't kill bacteria or help prevent cavities. You should still use a regular toothpaste of some sort to clean your teeth thoroughly. If it's overused, it can cause tooth sensitivity and increase the risk for cavities.

Why are my teeth yellow?

Some of the most common causes of tooth discoloration include drinking beverages such as coffee, soda, and wine. These substances get into the enamel of your teeth and can cause long-term discoloration. Fluoride: Excessive fluoride exposure is also among the causes of yellow teeth, especially in children.

Is it safe to brush your teeth with hydrogen peroxide?

Hydrogen peroxide is an inexpensive household product you probably have on hand right now. When used carefully, it can be an effective way to whiten your teeth. But if used incorrectly — in concentrations that are too high or if used too often — it can cause serious and sometimes expensive tooth damage.

Does coconut oil whiten teeth?

Three Ways to Get Whiter, Brighter Teeth with Coconut Oil Unlike strips and other harsh whitening products, the natural oil offers natural benefits that won't increase sensitivity. Plus, it aids in the removal of plaque and improves gum health, which in return make enamel appear whiter.

How can I remove tartar from my teeth without going to the dentist?

Munching on Sesame Seeds It will gently remove plaque and tartar, without damaging teeth. To achieve this, just pop a handful of sesame seeds into your mouth. Chew them up, but do not swallow them. Take an old toothbrush (dry) and brush your teeth while the seeds are still in your mouth.

Is baking soda and hydrogen peroxide safe for teeth?

Whitens teeth For deeper cleaning, people safely can mix baking soda with a small amount of hydrogen peroxide to create a toothpaste. However, since hydrogen peroxide can sting, people with sensitive teeth and gums should discontinue using this paste if they experience pain or discomfort.

How can I whiten my teeth quickly?

How To Whiten Teeth Fast: 17 Bright Methods
  1. Regular Dental Appointments.
  2. Avoid Known Stain Causers.
  3. Consume Certain Foods.
  4. Brush and Floss Daily.
  5. Invest in an Electric Toothbrush.
  6. Take Good Care of Your Gums.
  7. Use Whitening Toothpastes.
  8. Apply Whitening Strips.

What is the best whitening toothpaste?

Give one of these tubes of whitening toothpaste a try.
  • Best Overall: Crest 3D White Brilliance Toothpaste.
  • Best Budget: Arm & Hammer Advance White Extreme Whitening Toothpaste.
  • Best for Fresh Breath: Colgate Total Fresh + Whitening Gel Toothpaste.
  • Best Splurge: Supersmile Professional Teeth Whitening Toothpaste.

Why are my teeth yellow when I brush them everyday?

Bad oral hygiene Plaque forms when bacteria from food and drink particles aren't cleaned properly from your teeth. Over time, plaque hardens to form tartar, which can only be removed by a dentist or hygienist. This yellow coating can form on or around your teeth if you don't brush often enough or thoroughly enough.

How can I get rid of yellow teeth?

Using a paste made of baking soda and hydrogen peroxide is said to remove plaque buildup and bacteria to get rid of stains. Mix 1 tablespoon of baking soda with 2 tablespoons of hydrogen peroxide to make a paste. Rinse your mouth thoroughly with water after brushing with this paste.

How do celebrities get their teeth so white?

The theory goes that colors that are opposite of yellow, like certain hues of blue, will create a whiter look when used as a base. Other celebrities chew their teeth white, eating crunchy vegetables like cauliflower, broccoli and carrots to scrub away stains from their teeth.