The Daily Insight
updates /

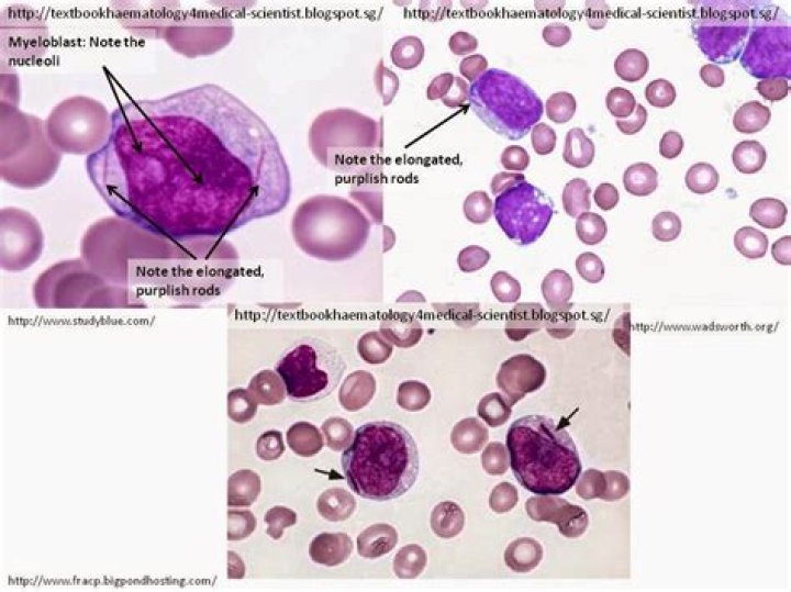
What leukemia has Auer rods?

Auer rods (or Auer bodies) are large, crystalline cytoplasmic inclusion bodies sometimes observed in myeloid blast cells during acute myeloid leukemia, acute promyelocytic leukemia, and high-grade myelodysplastic syndromes and myeloproliferative disorders.

.

Similarly one may ask, does CML have Auer rods?

One particular form of AML called acute promyelocytic leukemia (APL) is known to have many promyelocytes with multiple Auer rods. They can also be seen in a blast crisis in chronic myelogenous leukemia (CML). Auer rods are never seen in lymphoblasts. Auer rods are always classified as pathological.

Secondly, what are Auer rods composed of? Auer rods are clumps of azurophilic granular material that form elongated needles and can be seen in the cytoplasm of leukemic blasts under microscopic examination. They are composed of fused lysosomes and contain peroxidase, lysosomal enzymes, and large crystalline inclusions.

Beside this, what do Auer rods indicate?

Auer rods are red staining, needle-like bodies seen in the cytoplasm of myeloblasts, and/or progranulocytes in certain leukemias. Auer rods (see arrow in image) are cytoplasmic inclusions which result from an abnormal fusion of the primary (azurophilic) granules.

WHO classification AML?

The newer WHO classification is as follows : AML with recurrent genetic abnormalities: AML with t(8;21)(q22;q22), (AML1/ETO); AML with abnormal bone marrow eosinophils and inv(16)(p13q22) or t(16;16)(p13)(q22), (CBFB/MYH11); APL with PML/RARa; AML with t(9;11)(p21.

Related Question Answers

What is acute promyelocytic leukemia?

Acute promyelocytic leukemia is a form of acute myeloid leukemia, a cancer of the blood-forming tissue (bone marrow). The overgrowth of promyelocytes leads to a shortage of normal white and red blood cells and platelets in the body, which causes many of the signs and symptoms of the condition.

What is Philadelphia translocation?

The Philadelphia chromosome or Philadelphia translocation (Ph) is a specific genetic abnormality in chromosome 22 of leukemia cancer cells (particularly chronic myeloid leukemia (CML) cells). The presence of this translocation is a highly sensitive test for CML, since all cases of CML are positive for BCR-ABL1.

What is a Chloroma?

A chloroma is an extramedullary manifestation of acute myeloid leukemia; in other words, it is a solid collection of leukemic cells occurring outside of the bone marrow.

What are blasts in blood?

In biology and in medicine, the suffix "-blast" refers to immature cells known as precursor cells or stem cells. Just as nerve and fat cells develop from immature precursor cells, blood cells also come from immature blood-forming cells, or blasts, in the bone marrow.

What is a Myeloblast?

The myeloblast is a unipotent stem cell which differentiates into the effectors of the granulocyte series. It is found in the bone marrow. Stimulation of myeloblasts by G-CSF and other cytokines triggers maturation, differentiation, proliferation and cell survival.

What do smudge cells mean?

Smudge cells are remnants of cells that lack any identifiable cytoplasmic membrane or nuclear structure. Smudge cells, also called basket cells, are most often associated with abnormally fragile lymphocytes in disorders such as chronic lymphocytic leukemia (CLL).

What are the types of AML?

The types of acute myelogenous leukemia include:
  • Myeloblastic (M0) - on special analysis.
  • Myeloblastic (M1) - without maturation.
  • Myeloblastic (M2) - with maturation.
  • Promyeloctic (M3)
  • Myelomonocytic (M4)
  • Monocytic (M5)
  • Erythroleukemia (M6)
  • Megakaryocytic (M7)

What is the life expectancy of someone with acute myeloid leukemia?

With a median age at diagnosis of 67 years, this disease is far more common in the elderly. In this age group, AML has a particularly dismal outcome with less than 5% of the patients being alive 5 years after the diagnosis, as compared to 40% in the young,.

How long do you live with acute myeloid leukemia?

The five-year overall survival rate for AML is 27.4 percent, according to the National Cancer Institute (NCI). This means that of the tens of thousands of Americans living with AML, an estimated 27.4 percent are still living five years after their diagnosis.

Does AML leukemia have stages?

The eight AML stages are classified as follows: Undifferentiated AML - M0: In this stage of acute myelogenous leukemia, the bone marrow cells show no significant signs of differentiation. Myeloblastic leukemia - M2: Maturation of the bone marrow cells is beyond the promyelocyte (early granulocyte) stage.

Does AML come back after remission?

Most often, acute myeloid leukemia (AML) will go into remission after the initial treatment. But sometimes it doesn't go away completely, or it comes back (relapses) after a period of remission. If this happens, other treatments can be tried, as long as a person is healthy enough for them.

How do you die with AML?

Death in patients with AML may result from uncontrolled infection or hemorrhage. This may happen even after use of appropriate blood product and antibiotic support.

What stage is acute myeloid leukemia?

AML involves the body producing too many nonfunctioning, immature white blood cells. These are called blasts. They crowd out the useful cells, leading to a range of symptoms and complications. Acute leukemia develops suddenly, while chronic leukemia lasts for a long time and progresses gradually.

What is the difference between APL and AML leukemia?

APL is a rare sub-type of acute myeloid leukaemia (AML). When you have APL, the bone marrow is not able to make enough normal blood cells. APL is treated in a very different way from other forms of AML, if a patient with APL is given standard treatment, there is a risk of serious problems with their clotting system.

What is the difference between acute myeloid leukemia and multiple myeloma?

In multiple myeloma, the body produces too many plasma cells in the bone marrow. These extra cells cause damage to the bone marrow and can become tumors or can destroy the bones themselves. Leukemia is a different type of cancer of white blood cells. Acute myelogenous leukemia (AML)