The Daily Insight
news /

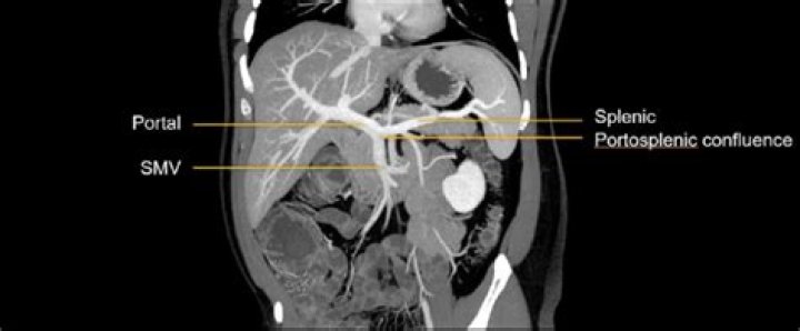
What is the portal splenic confluence?

Lienal vein is an old term for splenic vein. The portal vein is usually formed by the confluence of the superior mesenteric and splenic veins and also receives blood from the inferior mesenteric, left and right gastric veins, and cystic veins. Conditions involving the portal vein cause considerable illness and death.

.

Similarly, you may ask, where does the portal vein drain?

The superior and inferior mesenteric veins join the splenic vein behind the pancreas to form the portal vein which carries blood to the liver, which in turn is drained by the hepatic veins which pass into the IVC.

what is the main portal vein? The portal vein (PV) (sometimes referred to as the main or hepatic portal vein) is the main vessel in the portal venous system and drains blood from the gastrointestinal tract and spleen to the liver.

Similarly one may ask, what is portal circulation What is its function?

The portal venous system is responsible for directing blood from parts of the gastrointestinal tract to the liver. Substances absorbed in the small intestine travel first to the liver for processing before continuing to the heart. Not all of the gastrointestinal tract is part of this system.

What is the normal size of portal vein?

Gross anatomy The portal vein usually measures approximately 8 cm in length in adults with a maximum diameter of 13 mm.

Related Question Answers

Can you live without a portal vein?

When the portal vein is absent, toxic metabolites such as ammonia and bile acids collected from the gastrointestinal tract have to bypass the liver directly drainage into the systemic circulation, thus may initiate hepatic encephalopathy.

What is the difference between hepatic vein and portal vein?

Hepatic vein is the vein of liver which collects the de-oxygenated blood from the liver and drain directly into the inferior vena-cava and from vena-cava to the heart. Portal vein is form by union of superior mesenteric vein and splenic vein. Hepatic vein is form by the union of sublobular vein of liver.

What organs drain in portal vein?

The portal vein or hepatic portal vein is a blood vessel that carries blood from the gastrointestinal tract, gallbladder, pancreas and spleen to the liver.

What happens if portal vein is blocked?

Portal vein thrombosis is blockage or narrowing of the portal vein (the blood vessel that brings blood to the liver from the intestines) by a blood clot. Most people have no symptoms, but in some people, fluid accumulates in the abdomen, the spleen enlarges, and/or severe bleeding occurs in the esophagus.

What is the purpose of hepatic portal system?

The hepatic portal system is a series of veins that carry blood from the capillaries of the stomach, intestine, spleen, and pancreas to capillaries in the liver. Its main function is to deliver de-oxygenated blood to the liver to be detoxified further before it returns to the heart.

What is unusual about the hepatic portal vein?

The Portal Circulation The liver is unusual in that it has a double blood supply; the right and left hepatic arteries carry oxygenated blood to the liver, and the portal vein carries venous blood from the GI tract to the liver.

How many portal systems exist in a human?

Learn about this topic in these articles: Lower vertebrates have two so-called portal systems, areas of the venous system that begin in capillaries in tissues and join to form veins, which divide to produce another capillary network en route to the heart.

What are the 3 hepatic veins?

The hepatic veins are the veins of the liver, two of which are shown in this diagram. In human anatomy, the hepatic veins are the veins that drain de-oxygenated blood from the liver into the inferior vena cava. There are usually three upper hepatic veins draining from the left, middle, and right parts of the liver.

What are the 3 portal systems of the body?

Examples of such systems include the hepatic portal system, the hypophyseal portal system, and (in non-mammals) the renal portal system. Unqualified, portal venous system often refers to the hepatic portal system. For this reason, portal vein most commonly refers to the hepatic portal vein.

What is the purpose of a portal system?

Portal system is a system of blood vessels that begins and ends in capillaries. Hepatic portal carries nutrients from digestion to the liver to store and metabolize, after a meal.

Do humans have a renal portal system?

Portal Systems in Humans. But according to Wikipedia, renal portal system is absent in mammals.

Where does blood go after the liver?

Blood leaves the liver through the hepatic veins. This blood is a mixture of blood from the hepatic artery and from the portal vein. The hepatic veins carry blood to the inferior vena cava—the largest vein in the body—which then carries blood from the abdomen and lower parts of the body to the right side of the heart.

Can portal hypertension go away?

Unfortunately, most causes of portal hypertension cannot be treated. Instead, treatment focuses on preventing or managing the complications, especially the bleeding from the varices. Diet, medications, endoscopic therapy, surgery, and radiology procedures all have a role in treating or preventing the complications.

Can you feel portal hypertension?

Usually, doctors can recognize portal hypertension based on symptoms and findings during the physical examination. Doctors can usually feel an enlarged spleen when they examine the abdomen. Ultrasonography may be used to examine blood flow in the portal vein and nearby blood vessels and to detect fluid in the abdomen.

How long can you live with varices?

At least 50% of people who survive bleeding esophageal varices are at risk of more bleeding during the next one to two years. The risk can be reduced by endoscopic and drug treatments.

How long can you live with tips procedure?

According to an older randomized trial, 88% of people with cirrhosis and variceal bleeding who received TIPS survived for 2 years, and 61% survived for at least 5 years. A more recent analysis of TIPS procedures in one hospital found that 78.2% of patients survived longer than 90 days after the procedure.

What is unique about a portal system?

The portal venous system is responsible for directing blood from parts of the gastrointestinal tract to the liver. Blood flow to the liver is unique in that it receives both oxygenated and (partially) deoxygenated blood.

Is portal vein oxygenated blood?

The portal vein supplies partially oxygenated blood flow to the liver, supplementing the highly oxygenated blood flow of the hepatic artery to the liver. A, Esophageal submucosal veins, which are supplied by the left gastric vein and drain into the superior vena cava via the azygous vein.