The Daily Insight
updates /

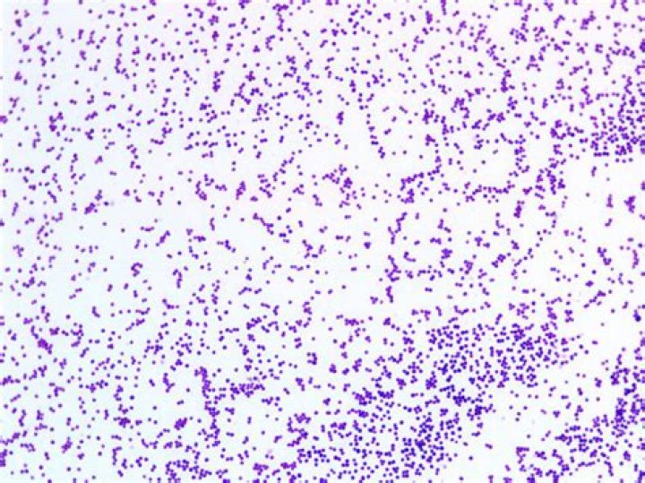
What is the morphology and arrangement of Staphylococcus aureus?

S. aureus is a facultatively anaerobic, Gram-positive coccus, which appears as grape-like clusters when viewed through a microscope, and has round, usually golden-yellow colonies, often with hemolysis, when grown on blood agar plates.

.

Beside this, what is the shape and arrangement of Staphylococcus aureus?

Staphylococci are irregular (grape-like) clusters of cocci (e.g. Staphylococcus aureus). Tetrads are clusters of four cocci arranged within the same plane (e.g. Micrococcus sp.).

Additionally, what is the colony morphology of Staphylococcus epidermidis? Cellular morphology and biochemistry S. epidermidis is a very hardy microorganism, consisting of nonmotile, Gram-positive cocci, arranged in grape-like clusters. It forms white, raised, cohesive colonies about 1–2 mm in diameter after overnight incubation, and is not hemolytic on blood agar.

Similarly one may ask, what is the arrangement and cell morphology of staphylococcus?

Staphylococci The cocci are arranged in grape-like clusters formed by irregular cell divisions in three plains.

Where is Staphylococcus aureus found in the body?

Life History and Characteristics: Staphylococcus aureus is a gram positive bacterium that is usually found in the nasal passages and on the skin of 15 to 40% of healthy humans, but can also survive in a wide variety of locations in the body. This bacterium is spread from person to person or to fomite by direct contact.

Related Question Answers

How dangerous is Staphylococcus aureus?

Staphylococcus aureus is the most dangerous of all of the many common staphylococcal bacteria. These gram-positive, sphere-shaped (coccal) bacteria (see figure How Bacteria Shape Up) often cause skin infections but can cause pneumonia, heart valve infections, and bone infections.

What are the characteristics of Staphylococcus?

Staphylococcus is a genus of Gram-positive bacteria in the family Staphylococcaceae in the order Bacillales. Under the microscope, they appear spherical (cocci), and form in grape-like clusters. Staphylococcus species are facultative anaerobic organisms (capable of growth both aerobically and anaerobically).

What diseases does Staphylococcus aureus cause?

S. aureus can cause a range of illnesses, from minor skin infections, such as pimples, impetigo, boils, cellulitis, folliculitis, carbuncles, scalded skin syndrome, and abscesses, to life-threatening diseases such as pneumonia, meningitis, osteomyelitis, endocarditis, toxic shock syndrome, bacteremia, and sepsis.

Where is staphylococcus found?

Staphylococci can be found normally in the nose and on the skin (and less commonly in other locations) of around 25%-30% of healthy adults and in 25% of hospital or medical workers. In the majority of cases, the bacteria do not cause disease.

Is Staphylococcus aureus a normal flora?

Diagnosis and Treatment of Staphylococcus aureus. S. aureus is part of the normal human flora (bacteria that normally reside in or on humans) and does not usually cause infection. aureus, 60% of the population will be colonized with S.

What are the symptoms of Staphylococcus aureus?

Symptoms include redness, swelling, and pain at the site of infection.
  • S. aureus can also cause serious infections such as pneumonia (infection of the lungs) or bacteremia (bloodstream infection).
  • If you suspect you may have an infection with S. aureus contact your health care provider.

What food is Staphylococcus aureus in?

SFP is caused by contaminated food products. S. aureus has a high salt tolerance, and can grow in ham and other meats, and in dairy products.

Causes for Staphylococcus aureus food poisoning

  • sandwiches.
  • puddings.
  • cold salads, such as tuna, chicken, macaroni, or ham salad.
  • sliced deli meats.
  • cream-filled pastries.

How is Staphylococcus aureus prevented?

Preventing Staph Infection
  1. Keep your hands clean by washing them thoroughly with soap and water.
  2. Keep cuts and scrapes clean and covered with bandages until they heal.
  3. Avoid contact with other people's wounds or bandages.
  4. Do not share personal items such as towels, clothing, or cosmetics.

Is Staphylococcus gram positive or negative?

Staphylococci are gram-positive aerobic organisms. Staphylococcus aureus is the most pathogenic; it typically causes skin infections and sometimes pneumonia, endocarditis, and osteomyelitis. It commonly leads to abscess formation.

Is Staphylococcus aureus the same as MRSA?

Methicillin-resistant Staphylococcus aureus (MRSA) is a bacterium that causes infections in different parts of the body. It's tougher to treat than most strains of staphylococcus aureus -- or staph -- because it's resistant to some commonly used antibiotics. The symptoms of MRSA depend on where you're infected.

How do you describe cell morphology?

Cell morphology is essential in identifying the shape, structure, form, and size of cells. In bacteriology, for instance, cell morphology pertains to the shape of bacteria if cocci, bacilli, spiral, etc. and the size of bacteria. Thus, determining cell morphology is essential in bacterial taxonomy.

Can Staphylococcus aureus be cured?

Antibiotic resistance Staph bacteria are very adaptable, and many varieties have become resistant to one or more antibiotics. For example, only about 10 percent of today's staph infections can be cured with penicillin.

Is MRSA gram positive?

MRSA, which most everyone knows about now, is gram-positive. We know about MRSA, but there has been an increase in infections caused by gram-negative bacteria, and they are resistant to many, or sometimes all, drugs.

Is Staphylococcus aureus contagious?

Staph bacteria are frequently present in healthy humans. Most staph bacteria are transmitted by person-to-person contact, but viable staph on surfaces of clothing, sinks, and other objects can contact skin and cause infections. As long as a person has an active infection, the organisms are contagious.

What bacteria are Diplococci?

A diplococcus (plural diplococci) is a round bacterium (a coccus) that typically occurs in the form of two joined cells.

Diplococcus

  • 2.1 Gram-negative diplococci.
  • 2.2 Neisseria spp.
  • 2.3 Moraxella catarrhalis.
  • 2.4 Gram-positive diplococci.
  • 2.5 Streptococcus pneumoniae.
  • 2.6 Enterococcus spp.

What is the morphology of E coli?

Escherichia coli (commonly abbreviated E. coli) is a Gram-negative, rod-shaped bacterium that is commonly found in the lower intestine of warm-blooded organisms (endotherms). Most E. coli strains are harmless, but some serotypes can cause serious food poisoning in humans.

What is Staphylococcus epidermidis resistant to?

epidermidis strains are resistant to methicillin (oxacillin) (Farrell et al., 2011). Resistance to multiple antibiotics (such as methicillin and vancomycin) is a major obstacle in the treatment of infections caused by Staphylococcus spp.

How is Staphylococcus epidermidis transmitted?

Mode of transmission of staphylococci Staphylococci are most often transmitted by direct or indirect contact with a person who has a discharging wound or clinical infection of the respiratory or urinary tract, or who is colonised with the organism.

What antibiotic kills Staphylococcus epidermidis?

Rifampin is a bactericidal antibiotic and has efficacy in the treatment of these organisms. In 2005, S. aureus was 64% susceptible, S. epidermidis was 74% and S.