The Daily Insight
general /

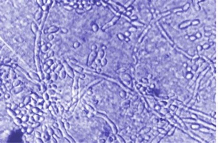
Is Candida a budding yeast?

Yeasts. Yeasts are fungi that grow as single cells, producing daughter cells either by budding (the budding yeasts) or by binary fission (the fission yeasts). the dimorphic fungus Candida albicans which can be a significant pathogen of humans. some of the common leaf surface yeasts.

.

Simply so, what does budding yeast in urine mean?

Candiduria is a common finding. Yeasts can be detected in urine that is contaminated during collection, in patients who have bladder colonization, and in patients who have upper urinary tract infection that developed either from retrograde spread from the bladder or hematogenous spread from a distant source.

Secondly, what is Pseudohyphae in Candida? Pseudohyphae are a distinct growth form that differs from both yeast cells and parallel-sided hyphae and are characterized by synchronously dividing elongated yeast cells (5, 7, 41, 42).

Similarly, you may ask, is Candida a motile?

Candida albicans affected the progressive motility of spermatozoa significantly immediately after incubation (0 h, p < 0.05) in the C. albicans group. Also, progressive motility showed significant difference from that of the control group at 1, 2 and 4 h (p < 0.01).

Is Candida albicans a yeast?

Candida albicans is a species of yeast — a single-celled fungus — that's a normal part of the microbes that live in your gastrointestinal tract. Small amounts of the yeast also live in various warm, moist areas throughout the body, including the mouth, rectum, vagina, and parts of your skin.

Related Question Answers

Is yeast in urine normal?

Low levels of ketones are sometimes found in the urine of healthy pregnant women. Normal: Very few or no red or white blood cells or casts are seen. No bacteria, yeast cells, parasites, or squamous cells are present. Bacteria in the urine mean a urinary tract infection (UTI).

Can yeast infection make you tired?

One of the most common symptoms associated with Candida is fatigue. Particularly, magnesium deficiency has been known to cause fatigue ( 14 ). Second, Candida infections commonly occur when the immune system is weakened. A low-functioning immune system in itself may leave you feeling tired and fatigued.

Can Candida cause kidney problems?

Candida albicans (C. albicans) is an opportunistic fungal pathogen that commonly causes nosocomial infections. Systemic candidiasis is encountered with increasing frequency in immunocompromised hosts, leading to renal failure that results in severe morbidity and mortality.

How do you treat yeast in urine?

For patients with symptomatic Candida urinary tract infections, a variety of treatment options are available. Fluconazole is the antifungal agent of choice, achieving high urine concentrations with the oral formulation. Rarely, amphotericin B or flucytosine are used.

What is the first sign of a yeast infection?

Yeast infection symptoms can range from mild to moderate, and include: Itching and irritation in the vagina and vulva. A burning sensation, especially during intercourse or while urinating. Redness and swelling of the vulva.

What does a yeast infection look like?

Vaginal yeast infections can cause: redness, swelling, or itching of the vulva (the folds of skin outside the vagina) a thick, white discharge that can look like cottage cheese and is usually odorless, although it might smell like bread or yeast. pain or burning when urinating (peeing) or during sex.

Can Candida spread to other parts of the body?

Usually it develops on mucous membranes (in the mouth, genitals, etc.) but the infection can also be in your bloodstream. Candida infection can spread from your bloodstream to other parts of your body (such as your eyes, kidney, liver, and brain). If this happens, it is called Invasive Candidemia.

How can I stop getting yeast infections?

While vaginal yeast infections are rarely serious, you can help prevent them from occurring in the first place.
  1. Practice good hygiene.
  2. Wear the right clothes.
  3. Avoid scented sprays and bath products.
  4. Don't douche.
  5. Avoid certain medications (when possible)
  6. Maintain proper diet, sleep, and exercise.

What is the purpose of Candida?

What is candida? Candida Albicans is a fungus, specifically a yeast. It normally lives in the gastrointestinal tract and other areas of the body without causing harm. Candida's purpose is to assist digestion and nutrient absorption as well as to help the immune system by recognising and destroying harmful bacteria.

Is Candida albicans dangerous?

And in severe cases, known as invasive candidiasis, Candida can negatively impact vital parts of the body, including the blood, heart and brain – ultimately leading to hospitalization and, rarely, death.

How do I know if I have Candida?

Various Candida species can be detected by observing the changes in the indicator colour when the yeast cultures utilize 1% carbohydrates such as glucose, maltose, sucrose, trehalose and raffinose. These tests are now available as commercial kits such as API 20C, API 32C or RapID Yeast Plus systems.

Where is Candida found?

Candida albicans is part of our natural microflora — or the microorganisms that commonly live in or on our bodies. It can be found in the GI tract, the mouth, and the vagina.

Where does Candida grow?

Candida normally lives on the skin and inside the body, in places such as the mouth, throat, gut, and vagina, without causing any problems. Candida can cause infections if it grows out of control or if it enters deep into the body (for example, the bloodstream or internal organs like the kidney, heart, or brain).

Who discovered Candida?

While Langenbeck (1839) first documented the fungus associated with thrush, he failed to make the direct connection. In 1847, the distinguished French mycologist, Charles Philippe Robin, classified the fungus as Oidium albicans (6) using albicans (“to whiten”) to name the fungus causing thrush.

What color is Candida?

All 285 C. albicans isolates formed yellow-green to blue- green colonies on CHROMagar Candida (Fig. 1C). This green color was particularly distinctive for the species, and among the other species tested, only two Geotrichum isolates formed a similar hue.

Is Candida Gram positive or negative?

albicans can take on either a unicellular (yeast) or multicellular (hyphae, pseudohyphae) form. The yeast form is 10-12 microns across, and is Gram-positive. A transcription repressor is needed to maintain the yeast state.

Is Candida a fungus?

Candida (fungus) Candida is a genus of yeasts and is the most common cause of fungal infections worldwide. Candida albicans is the most commonly isolated species and can cause infections (candidiasis or thrush) in humans and other animals. In winemaking, some species of Candida can potentially spoil wines.

What are the three types of hyphae?

A Few Notes
  • Hyphae are the feathery strands that grow from fungi.
  • Hyphae are responsible for absorbing food and may also grow spores for reproduction.
  • There are two types of hyphae: septate hyphae and coenocytic hyphae.
  • A network of hyphae is call a mycelium.

What is Candida mold?

Candida albicans is a dimorphic fungus, which means that it grows as a yeast form in a carbohydrate medium and forms hyphae (strands) when the medium is low in nutrients. Thus, it is commonly referred to as a “pseudo-yeast.” The role of Candida as a cause of allergy has been much disputed.