The Daily Insight
updates /

Are Forgotten memories still in your brain?

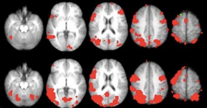
Your brain may remember something, even when you can't Even when a memory can't be accessed — that is, when it's forgotten — new research suggests it may persist in the brain. Researchers divide memories of events into two types: recollection and familiarity.

.

Furthermore, are forgotten memories lost forever?

Though some memories may be inaccessible to you, they're not entirely gone, and could potentially be retrieved, according to new research from the University of California, Irvine. If you've ever forgotten something and thought it to be lost forever, don't despair -- it's still filed away in your brain.

Likewise, can your brain block out memories? According to McLaughlin, if the brain registers an overwhelming trauma, then it can essentially block that memory in a process called dissociation -- or detachment from reality.

Similarly one may ask, does the brain ever forget anything?

Irina Calin-Jageman, a researcher at Dominican University, is a co-leader of the “Slug Squad” lab that has found evidence that active forgetting processes in the brain do not always completely erase memories. “Everything isn't just gradually, completely gone,” she said.

How can I recover my brain memory?

Advertisement

  1. Include physical activity in your daily routine. Physical activity increases blood flow to your whole body, including your brain.
  2. Stay mentally active.
  3. Socialize regularly.
  4. Get organized.
  5. Sleep well.
  6. Eat a healthy diet.
  7. Manage chronic conditions.
Related Question Answers

Can you recover forgotten memories?

Forgotten Memories Are Still in Your Brain. For anyone who's ever forgotten something or someone they wish they could remember, a bit of solace: Though the memory is hidden from your conscious mind, it might not be gone.

How far back can humans remember?

Forgotten memories Humans can be primed and implicitly trained earlier before they can remember facts or autobiographical events. This is most important in terms of emotional trauma. Adults can generally recall events from 3–4 years old, and have primarily experiential memories beginning around 4.7 years old.

How can I get my childhood memories back?

11 Things That Will Bring Back Memories Of Your Childhood
  1. Kid Cuisine. Looking forward to eating one of these instead of a home cooked meal mostly so that you could eat the tiny desserts and finger foods!
  2. Inflatable Furniture.
  3. Macarena.
  4. Mad-Libs.
  5. Magic-Eye.
  6. Roller Blades.
  7. Sticky Hands.
  8. Renting Videos.

Can you forget traumatic experience?

For more than a hundred years, doctors, scientists and other observers have reported the connection between trauma and forgetting. They discovered that some people do forget the traumatic experiences they had in childhood, even though it was established fact that the traumatic events occurred.

Why can't I remember anything from my past?

It's normal for almost everyone to not be able to remember anything from their earlier years. The reason why you can't remember anything during your teenage years is probably because you didn't care about those memories enough to make them stick, so they all faded away too.

Why do I forget things instantly?

The inability to retrieve a memory is one of the most common causes of forgetting. So why are we often unable to retrieve information from memory? According to this theory, a memory trace is created every time a new theory is formed. Decay theory suggests that over time, these memory traces begin to fade and disappear.

Why do people forget their past?

Why we forget seems to depend on how a memory is stored in the brain. Things we recollect are prone to interference. Things that feel familiar decay over time. The combination of both forgetting processes means that any message is unlikely to ever remain exactly the way you wrote it.

Can you ever really forget something?

"Decades of research has shown that we have the ability to voluntarily forget something, but how our brains do that is still being questioned." Much prior research on intentional forgetting has focussed on brain activity in the prefrontal cortex, and the brain's memory centre, the hippocampus.

Why do we forget dreams?

WE FORGET almost all dreams soon after waking up. Our forgetfulness is generally attributed to neurochemical conditions in the brain that occur during REM sleep, a phase of sleep characterized by rapid eye movements and dreaming. The dreaming/reverie end involves some of the most creative and “far out” material.

How do you get repressed memories?

Despite the controversy surrounding repressed memories, some people offer repressed memory therapy. It's designed to access and recover repressed memories in an effort to relieve unexplained symptoms. Practitioners often use hypnosis, guided imagery, or age regression techniques to help people access memories.

Why do I forget things when high?

Smoking weed regularly can damage the hippocampus, the memory center of the brain. While marijuana won't cause blackouts or amnesia, the drug can cause short-term memory problems, fuzzy thinking and forgetfulness. Memory impairments may improve with abstinence.

Why do I remember everything?

Hyperthymesia is a condition that leads people to be able to remember an abnormally large number of their life experiences in vivid detail.

Is there any medicine to forget past?

Get it gone. “A drug called ZIP,” as reported by the New York Times, has been shown to work in rats. Regular analgesics and even anesthesia have also been used to ease the pain of social rejection or traumatic memories. They also help destabilize fearful memories, which are the hardest to forget.

What are symptoms of repressed memories?

At first, hidden memories that can't be consciously accessed may protect the individual from the emotional pain of recalling the event. But eventually those suppressed memories can cause debilitating psychological problems, such as anxiety, depression, post-traumatic stress disorder or dissociative disorders.

Is it normal not to remember most of your childhood?

It turns out that most most of us can hardly remember anything from their first half dozen-or-so years of life. Welcome to the concept of childhood amnesia, also called infantile amnesia. Childhood amnesia is real, but like most things to do with memory, we don't fully understand it.

What is it called when you forget things easily?

Alzheimer (say: ALTS-hy-mer, ALS-hy-mer, or OLS-hy-mer) disease, which affects some older people, is different from everyday forgetting. It is a condition that permanently affects the brain. Over time, the disease makes it harder to remember even basic stuff, like how to tie a shoe.

Why do repressed memories come back?

Repressed memories have been reportedly recovered through psychotherapy (or may be recovered spontaneously, years or even decades after the event, when the repressed memory is triggered by a particular smell, taste, or other identifier related to the lost memory).

How traumatic memories are stored?

When a person experiences a traumatic event, adrenaline rushes through the body and the memory is imprinted into the amygdala, which is part of the limbic system. The memories are stored through fragments of visual images, smells, sounds, tastes, or touch.

What is traumatic memory?

Traumatic memories are formed after an experience that causes high levels of emotional arousal and the activation of stress hormones. These memories become consolidated, stable, and enduring long-term memories (LTMs) through the synthesis of proteins only a few hours after the initial experience.